
夏季到来,小龙虾、烧烤配上啤酒,是很多市民喜欢的休闲方式。近日,长沙一女子宵夜后散步消食时不慎摔跤,腹痛剧烈入院。经我院泌尿外科医生检查发现,女子膀胱破裂,情况危急。最终,经医生紧急实施剖腹探查、膀胱破裂修补术,才转危为安。
记者了解到,6月1日晚,家住长沙雨花区的25岁女子张迪(化名),下班后跟三五好友约着吃饭,几个成年人嚷嚷着一起过儿童节。酒足饭饱后,张迪在回家途中沿着河边散步消食。由于吃饭时喝了啤酒,张迪感到有些“内急”,不自觉加快了脚步。长沙近期处于梅雨季,地面湿滑,张迪一不留神脚下一滑,便摔倒在地。“当时并未感觉摔得多严重,只是一点点轻微擦伤,便没在意!”张迪表示。回到家后的张迪渐渐开始感觉腹部有些胀痛,后来疼痛越来越明显,才紧急来到急诊科就诊。
根据张迪的描述,医生先为张迪行了妇科相关检查及腹部CT平扫检查,但是CT除了发现少量盆腔积液外未找到其它问题,考虑到患者腹痛在加重,急诊科医生紧急请泌尿外科前来会诊。泌尿外科医生仔细追问其病史,结合CT检查,考虑存在膀胱损伤可能,立即留置导尿管,见有少量淡红色血尿。最后经过膀胱造影CT检查,张迪确诊为腹膜内型膀胱破裂,腹腔内已有大量尿液,所以才引起腹膜炎刺激性腹痛等症状。

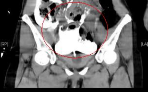
CT显示腹腔盆腔内大量积液(尿液),膀胱造影尿液混杂着造影剂,在盆腔、腹腔都显影出白色
一经确诊,医院立即开启绿色通道,对张迪紧急实施了剖腹探查、膀胱破裂修补术。第一步:找到膀胱破口。由于患者既往腹部有过手术史(剖宫产),术中组织黏连,使查找破口难度增加,经过泌尿外科手术团队的仔细探查后,终于找到了膀胱破口;第二步:破口修复。尿液会通过细小创面缝隙渗出,而渗出将对术后恢复造成不利影响,因此膀胱破口的修复对术者要求较高。术中,医生对膀胱应用可吸收线分层仔细修补,使膀胱内注水试验达到了“滴水不漏”的效果。同时,仔细检查了输尿管、阴道及周围肠道等器官,幸运的是均未发现合并损伤。患者手术顺利,术后患者需要留置导尿管一段时间,继续抗感染治疗,预防腹腔和盆腔脓肿形成,等待膀胱裂口愈合。
泌尿外科黎勇林主治医师介绍:膀胱主要功能为储存、排出尿液,膀胱周围有丰富的脂肪组织,其中骨盆筋膜在膀胱周围形成的韧带将膀胱与耻骨、提肛肌固定。因为受到骨盆及周围脂肪组织的保护,膀胱在空虚状态下一般不容易受伤,充盈状态下(大量饮酒、饮水、憋尿)受到外力打击容易引起膀胱损伤,但除贯通伤或骨盆骨折外很少因外界暴力遭受损伤甚至破裂,外伤性膀胱破裂一旦诊断明确,要紧急处理相关合并症外需尽早进行手术修补,否则容易出现尿瘘、严重感染等严重后果。
随着天气变热,啤酒宵夜的诱惑难以抵挡,大量饮酒后尿量会明显增加,医生提醒,酒后切勿憋尿,否则将引起很多严重后果。
泌尿外科
医德医风和医药领域腐败问题集中整治举报:
一、电话:0731-85667861
二、电子邮箱:zxyyjw308@126.com
三、信息平台:长沙市中心医院官网
四、邮寄地址:长沙市韶山南路161号长沙市中心医院安全办,邮编:410004
五、来访接待:长沙市中心医院安全办办公室